Concept
Version 7
Created by Boundless
The Complement System and Heart Disease

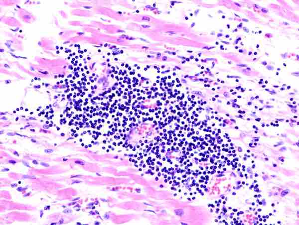
Viral myocarditis
Histopathological image of myocarditis at autopsy in a patient with acute onset of congestive heart failure
Source
Boundless vets and curates high-quality, openly licensed content from around the Internet. This particular resource used the following sources:
"Viral myocarditis (1)."
http://en.wikipedia.org/wiki/File:Viral_myocarditis_(1).JPG
Wikipedia
CC BY-SA.