Physiology
Textbooks
Boundless Anatomy and Physiology
Organization at the Tissue Level
Nervous Tissue
Physiology Textbooks Boundless Anatomy and Physiology Organization at the Tissue Level Nervous Tissue
Physiology Textbooks Boundless Anatomy and Physiology Organization at the Tissue Level
Physiology Textbooks Boundless Anatomy and Physiology
Physiology Textbooks
Physiology
Concept Version 15
Created by Boundless

Characteristics of Nervous Tissue

Nervous tissue is the main component of the nervous system, which includes the brain, spinal cord, and nerves.

Learning Objective

  • Describe the characteristics of nervous tissue


Key Points

    • Nervous tissue is one of four major classes of tissues and makes up the central nervous system and the peripheral nervous system.
    • Integration and communication are the two major functions of nervous tissue.
    • Nervous tissue contains two categories of cells—neurons and neuroglia. 
    • Neurons are highly specialized nerve cells that generate and conduct nerve impulses. 
    • Neuroglia are supporting cells that provide physical sport, remove debris, and provide electrical insulation. 

Terms

  • myelin

    A substance produced by cells of the neuroglia that increases the speed of impulses along the axon of the neuronal fiber. 

  • nervous tissue

    The principal constituent of the central and peripheral nervous system, comprised neurons and neuroglia cells.

  • brain

    The control center of the central nervous system, located in the skull.


Full Text

Nervous tissue is one of four major classes of tissues. It is specialized tissue found in the central nervous system and the peripheral nervous system. It consists of neurons and supporting cells called neuroglia.

The nervous system is responsible for the control of the body and the communication among its parts. Nervous tissue contains two categories of cells—neurons and neuroglia.

Neurons are highly specialized nerve cells that generate and conduct nerve impulses. A typical neuron consists of dendrites, the cell body, and an axon. 

Dendrites are responsible for responding to stimuli; they receive incoming signals towards the cell body. The axons are responsible for transmitting impulses over long distances from cell body. The cell body is like a factory for the neuron. It produces all the proteins and contains specialized organelles such as nucleus, granules and Nissl bodies. 

Neuron

This image illustrates the parts of a neuron. The dendrites receive incoming signals while axons propagate signals away from the neuron cell body. The myelin sheath surrounds and insulates the axon.

This image illustrates the parts of a neuron, depicted as a nucleus surrounded by a randomly shaped cell body with many arm-like dentrites on its edges. The dendrites receive incoming signals. The axons send signals away from the neuron cell body, represented as beads on a chain in the picture. The myelin sheath surrounds and insulates the axon beads, the node of Ranvier links each axon to the next one, and the Schwann cells inside each axon increase the speed of the signal as it moves towards the axon terminal. The axon terminal is shown as several branches emerging from the last axon in the chain.

The axon is surrounded by a whitish, fatty layer called the myelin sheath. Outside the myelin sheath there is a cellular layer called the neurilemma. 

In the peripheral nervous system, Schwann cells are neuroglia cells that support neuronal function by increasing the speed of  impulse propagation. The Schwann cells are underlain by the medullary sheath. The medullary sheath is interrupted at intervals by the nodes of Ranvier. 

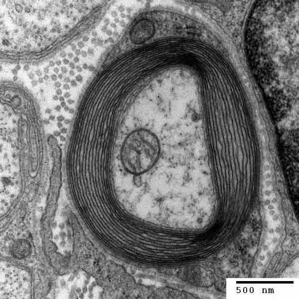
Illustration of the Schwann Cells and the Myelin Sheath

Transmission electron micrograph of a myelinated axon. The myelin layer (concentric) surrounds the axon of a neuron, showing Schwann cells.

[ edit ]
Edit this content
Prev Concept
Types of Connective Tissue
Types of Nervous Tissue
Next Concept
Subjects
  • Accounting
  • Algebra
  • Art History
  • Biology
  • Business
  • Calculus
  • Chemistry
  • Communications
  • Economics
  • Finance
  • Management
  • Marketing
  • Microbiology
  • Physics
  • Physiology
  • Political Science
  • Psychology
  • Sociology
  • Statistics
  • U.S. History
  • World History
  • Writing

Except where noted, content and user contributions on this site are licensed under CC BY-SA 4.0 with attribution required.